Medix logo
ДЕНТАЛНА РЕНТГЕНОВА ЛАБОРАТОРИЯ

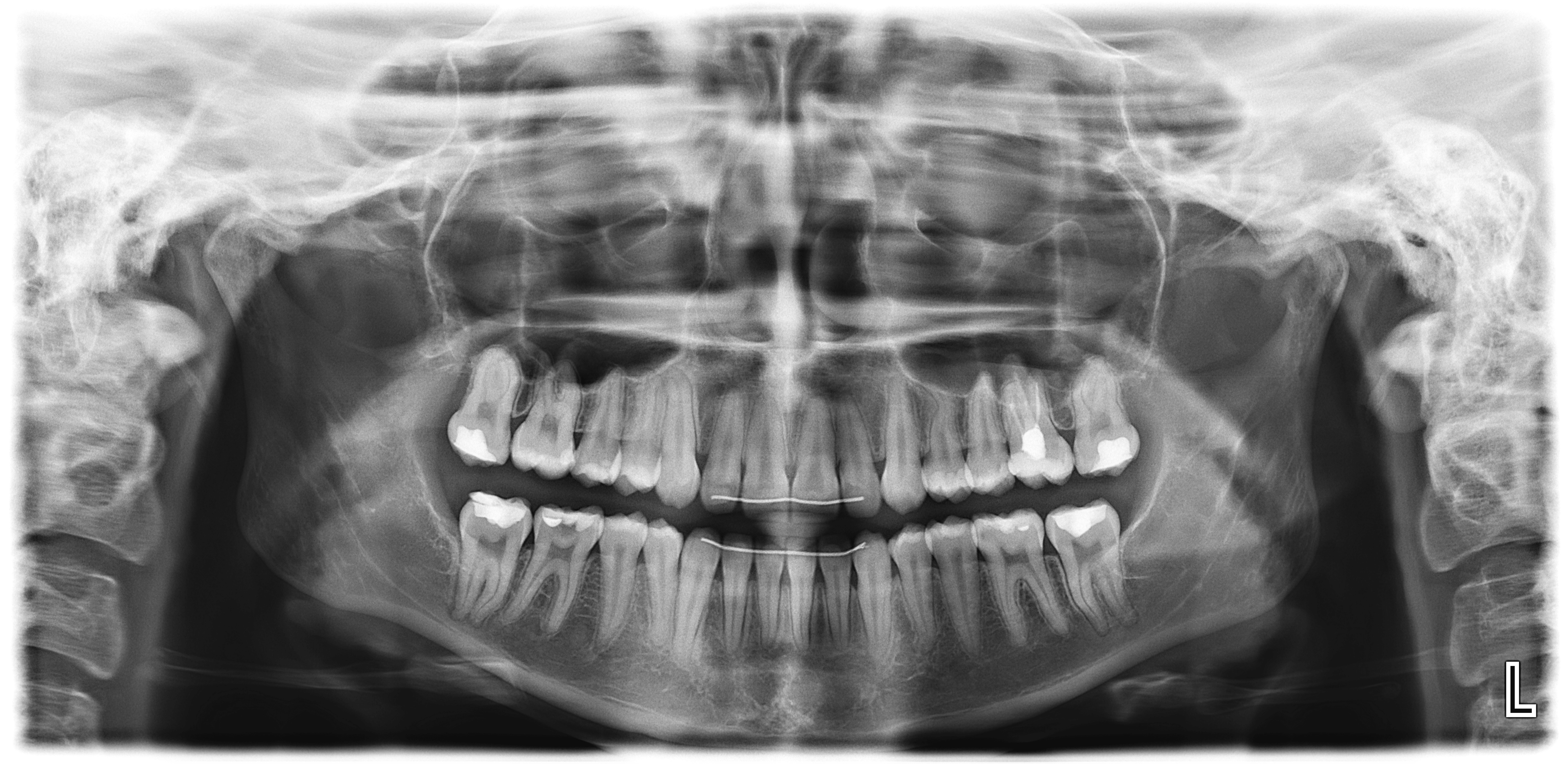
Панорамна снимка на зъби (OPG)

Панорамната зъбна снимка обхваща цялото съзъбие, челюстните стави и пода на синусите. С нейна помощ се откриват непоникнали (ретинирани) зъби, включително мъдреци, пародонтални проблеми, кисти, тумори, фрактури и др. Следи се развитието на зародишите и корекцията на захапката при ортодонтско лечение. Използва се както за сваляне на статуса при първоначален преглед, така и за периодичен контрол на състоянието.